Im Januar reist Christopher Galli and die HUMAN AMYLOID IMAGING CONFERENCE in Miami um die Ergebnisse seiner Master-Thesis in Medical Informatics vorzustellen.
Christopher arbeitet als Principal Research Associate in Pharma Research and Early Development (pRED) in der Gruppe für Neuroscience and Rare Diseases bei Hoffman-La Roche. In seiner Master-Thesis hat er in Zusammenarbeit mit seinen Betreuern Dr. Matteo Tonietto und Dr. Gregory Klein von Roche und seinen Betreuerinnen Prof. Dr. Antje Knopf und Prof. Dr. Enkelejda Miho der Hochschule für Life Sciences FHNW eine Methode entwickelt, die es ermöglicht die Auflösung von PET (Positronen-Emissions-Tomografie)-Bildern aus verschiedenen PET-Scannern zu bestimmen, ohne die normalerweise dafür benötigten Kalibrierungsdaten. Christophers Methode umgeht also die aufwendige und kostspielige Kalibrierung der PET-Scanner durch sogenannte 3D Hoffman Phantome. Dieser revolutionäre Schritt ermöglicht es, PET-Bilder auch dann zu harmonisieren, wenn der Zugang zu Kalibrierungsdaten fehlt oder nicht möglich ist.


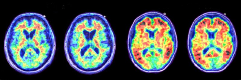
Was sind PET-Bilder?
PET-Bilder ermöglichen es, biologische Prozesse wie Blutfluss, Stoffwechsel oder Proteinkonzentrationen im Körper zu visualisieren. Hierzu wird dem Probanden ein Radiotracer injiziert, wodurch Moleküle mit radioaktiven Isotopen durch die Blutbahnen verteilt werden. Die Konfiguration des Moleküls bestimmt die zu überwachenden biologischen Prozesse.

Früherkennung von Alzheimer
Christophers Master-Thesis behandelt das menschliche Gehirn bei der Alzheimer-Erkrankung. Alzheimer veränderten den Abbau des Amyloid-Vorläuferproteins wodurch der sogenannte Amyloid-Plaque entsteht. In seiner Master-Thesis geht Christopher der Frage nach, wie sichergestellt werden kann, dass unterschiedliche PET-Scanner mit unterschiedlichen Auflösungen die Menge an Amyloid-Plaque einheitlich bestimmen können. Hierzu muss die Auflösung jedes einzelnen PET-Scanners bestimmt werden und auf eine bestimmte Auflösung reduziert werden. Das führt dazu, dass die Alzheimer-Krankheit in einem frühen Stadium erkannt werden kann.
Wir wünschen Christopher viel Erfolg für die Präsentation seiner Arbeit an der HUMAN AMYLOID IMAGING CONFERENCE!
